真空高压气淬炉是实现真空热处理的最好设备
2017-09-28
塑胶模具针对模仁钢材的八大性能要求,具体如下:
塑胶模具注塑新技术,高光无痕注塑技术
华体买球-申请深圳市创新型中小企业
2017-09-27
南京国庆8日游
2017-09-26
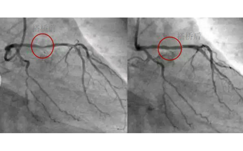
深圳市模具厂对心脏支架的关注,国产化的道路有多长?
2017-09-25
天线罩模具, 专业的TPU模具, 专业设计, 专业生产上图这样的设计, 是不是可以看清楚,
深圳模具厂加强出货前检验,能有效避免效率低下,浪费时间的问题
2022-11-29 Vlog 日志, 后天12月到了
注塑厂,可以做LDS的产品,看过来
关于钢材的问题--深圳市模具厂钢材的来源
第一周, 总体概述, Hadoop , 想到鸿蒙的未来,还想大干一场